El Tumor disembrioplástico neuroepitelial, comúnmente abreviado DNT o DNET por sus siglas (en inglés) , es un tipo de tumor cerebral.[1]
Historia
El tumor disembrioplástico neuroepitelial es una lesión muy infrecuente del sistema nervioso central, la cual fue descrita por primera vez en 1988 por Daumas-Duport[2] e incluida en la última clasificación de tumores cerebrales de la Organización Mundial de la Salud.[3]
Histología
Es parecido a un oligodendroglioma, pero con neuronas visibles.[4] Está inserto en el Grado 1 de la clasificación de tumores cerebrales de la OMS y, generalmente, tiene muy buen pronóstico.[5][6] Macroscópicamente, los tumores son suaves y gelatinosos. Los tumores se pueden formar varios nodos en la corteza y, ocasionalmente, en la cubierta de la sustancia blanca (sustancia blanca) . La región más afectada del cerebro, el lóbulo temporal , seguida por los lóbulos frontales y menos frecuentemente a partir de la corteza parietal . Microscópicamente, la característica más importante es una estructura compleja que consta de glia y neuronas (elementos de los llamados elementos glioneuronal ). Los elementos gliales son filamentos de fibras gliales y vasos sanguíneos. Ellos definen "los lagos de moco", que son en gran medida neuronas maduras.
Epidemiología
La incidencia (frecuencia) del DNET es difícil de estimar, ya que varios informes proceden de centros especializados, con un enfoque en el tratamiento de la epilepsia. Se estima que alrededor de 1,2% de los tumores neuroepiteliales, cumplen los criterios para DNET. Los pacientes suelen ser jóvenes, la mayoría de ellos aún niños. En los adultos, el diagnóstico inicial de DNET es raro.
Diagnóstico
Imagen
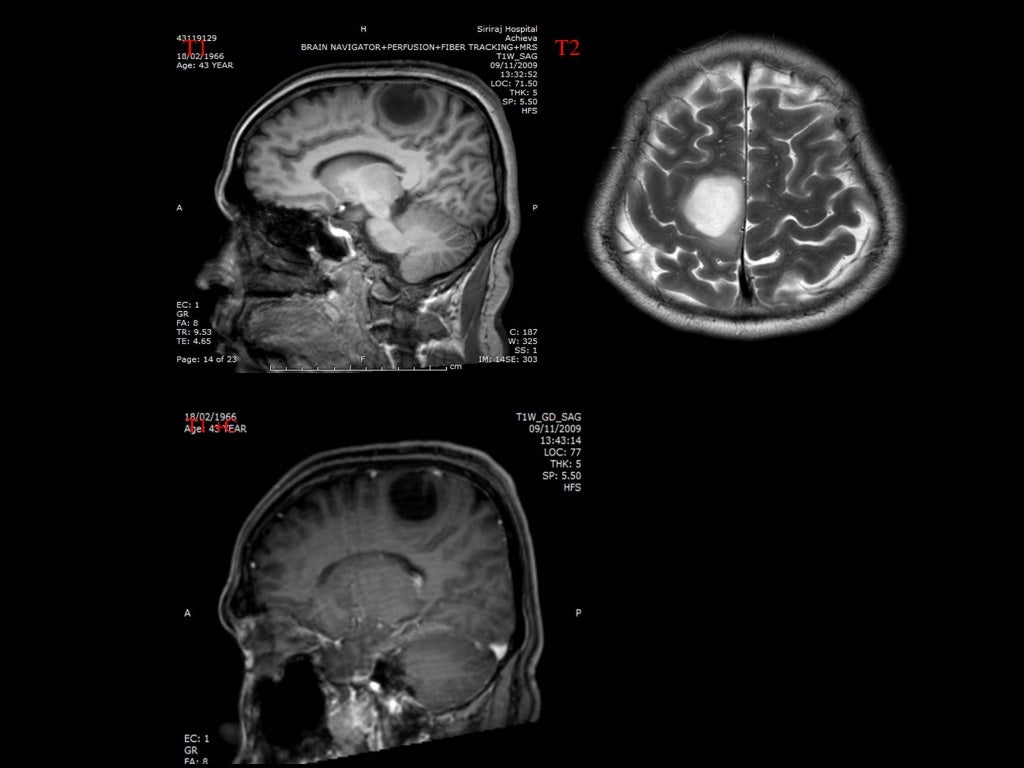
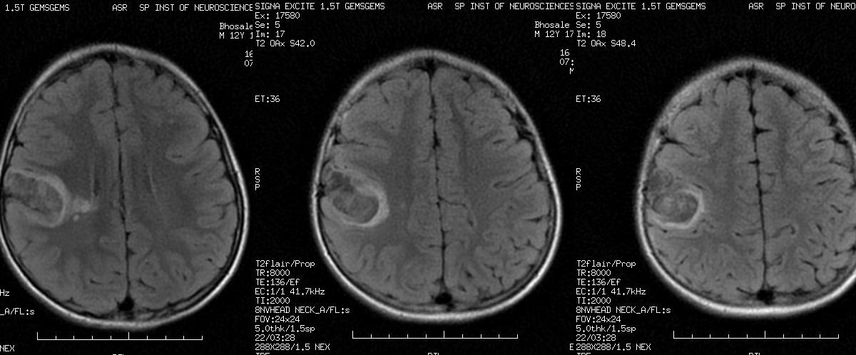
La imagen por resonancia magnética (MRI, MRI) o tomografía computarizada (TC) muestra lesiones en la corteza cerebral. Las lesiones se extienden en todo el espesor de la corteza. En la TC se puede ver densas lesiones de la corteza con discapacidad (hipodensa) bien delimitadas . Los quistes se encuentran a menudo calcificados. Una acumulación de medio de contraste no es típica. Un desplazamiento del tejido circundante no se produce. A veces hay una deformidad del cráneo sobre el tumor. En la RM, las lesiones aparecen bien definidas, no invasoras, y sin edema perifocal (captación de líquido en el parénquima cerebral circundante). Como es típico, la configuración multinodular (que consta de muchos como estructuras nodulares) se ha descrito.[1][7]
Diagnóstico diferencial
El principal diagnóstico diferencial de DNET son oligodendrogliomas y gangliogliomas .
Complicaciones
Puede causar epilepsia.[8][3] Las muertes súbitas por tumores intracraneales no diagnosticados en vida son muy raras.[9] El TDN es un tumor cerebral de muy baja frecuencia (0,2-1% de los tumores cerebrales) y normalmente se asocia a crisis epilépticas fármaco-resistentes.[10]
Tratamiento
El tratamiento consiste en la extirpación quirúrgica del tumor, que se puede lograr por regla general, el control de los ataques. Son tumores neuroectodérmicos que probablemente no tienen ninguna tendencia a la transformación maligna.[11] El resultado posoperatorio sugiere que el DNT tiene un excelente pronóstico. Sin embargo, es aún necesario un mayor período de seguimiento para establecer su real pronóstico en la era de la RM (AU)[3]
Véase también
- Astrocitoma pilocítico
- Oligodendroglioma
Referencias
- Bibliografía
- Daumas-Duport C, Varlet P, Bacha S, et al. Clinical study dysembryoplastic neuroepithelial tumors: non-specific histological forms - A study of 40 cases. Journal of Neuro-Oncology 1999;41:267-80. *Al-Maghrabi J. Dysembryoplastic Neuroepithelial tumor (DNT): Morphological and immunohistochemical features. JKAU: Med Sci 2007;14:45-54.
- Campos AR, Clusmann H, von Lehe M, et al. Neuroradiology. Simple and complex dysembryoplastic neuroepithelial tumors (DNT) variants: clinical profile, MRI, and histopathology. Neuroradiology 2009;51:433-43.
- Guimaraes Dias Mussi M, Vieira Alves-Leon S, Claudio Santos Thuler L. Systematic Review of Dysembyoplastic Neuroepithelial Tumor Characteristics. Applied Cancer Research 2008;28:85-92. *Hammond RR, Duggal N, Woulfe JM, et al. Malignan tranformation of dysembryplastic tumor. Case report. J Neurosurg. 2000;94:722-5.
Enlaces externos
- Dysembryoplastic neuroepithelial tumour




